
Harry Agress, Jr., MD, reflects on retirement as a rewarding “rewirement,” encouraging radiologists to embrace curiosity, purpose, and new experiences. Drawing from his own transition, he highlights teaching, creativity, and volunteerism as fulfilling outlets, emphasizing… Read more

Rectal MRI unites American, Australian, and New Zealander abdominal imagers Read more

ARRS President Deborah Baumgarten, MD, on the role of serendipity in medicine and imaging. Read more

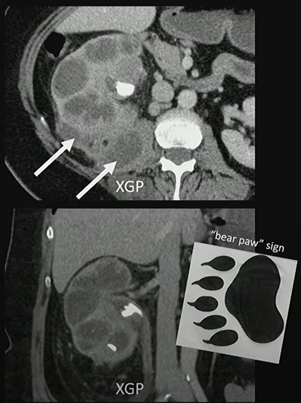
See staghorn calculi, perinephric inflammation, and an enlarged, poorly functioning kidney? Think xanthogranulomatous pyelonephritis! Read more

Announcing this April’s two-day Categorical Course: Clinical Artificial Intelligence in Radiology Read more

A benign-looking liver lesion turned out to be a hepatic artery pseudoaneurysm—all thanks to color Doppler. Read more

Experts ask 20 questions about definitions, methodologies, and misaligned clinical realities Read more

Understanding Dr. Lea Alhilali’s fishbowl analogy helps clarify how to distinguish mild, moderate, and severe cases. Read more

Expect DICOM mandates to simplify imaging transfers, elevated oversight of AI, and more rigorous validation for CT-based calcium scoring Read more