Category: Uncategorized
-

Working Happier, Together
Angelisa M. Paladin, MD discusses how mentorship programs enhance professional growth and job satisfaction despite challenges.
-

The Roentgen Fund® Roundup
New ARRS Scholars, Clinician Educators Class of 2025, Launching SPARC, and more!
-

Members in Memoriam—Lee Rogers and John Tampas
Rest in peace, Lee F. Rogers (1934–2024) and John P. Tampas (1929–2024).
-

Honoring Excellence in Radiology
ARRS will honor three awardees at the Opening Ceremonies of the 2025 ARRS Annual Meeting.
-

Uterine Fibroid Embolization: A Life-Changing Option for Your Patients
Uterine fibroid embolization (UFE) is a minimally invasive alternative to hysterectomy, preserving the uterus and offering shorter recovery times and high success rates. ARRS is collaborating with RHEC to enhance access to imaging resources.
-

Sunday in San Diego: Annual Meeting Sessions Focus on Critical AI Education, Clinical AI Implementation
AI is reshaping radiology, yet many radiologists lack the education needed for safe and ethical implementation. ARRS 2025 Sunday sessions will provide essential insights to close this gap.
-

How to Work Happier
Angelisa M. Paladin emphasizes community, flexibility, and harmony for radiologists’ happiness, highlighting mental health initiatives since the COVID pandemic.
-

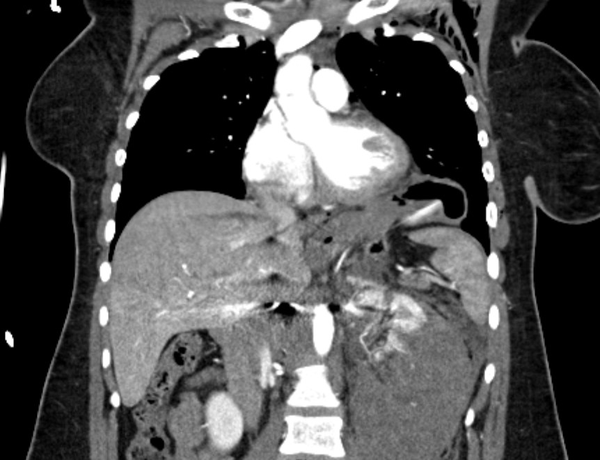
Case Quiz: 31-Year-Old With Multiple Car Crash Injuries
Athanasios Pavlou offers radiographs and CTs to help differentiate your diagnosis.
-

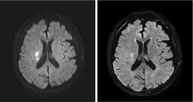
Why Ultrafast MRI Is the Future of Acute Stroke Triage
Lang et al. make their case for choosing MRI over CT for initial acute infarct screening.
